정확함, 신속함, 정교함으로 여러분께 신뢰로 다가가겠습니다.
철저한 구강관리 안내와 정기적인 검진을 통한 리드온의 예방중심 시스템
입속 세균 검사, 잇몸 마사지, 잇몸 영양 팩, 에어플로우, 맞춤 스케일링 치료와 예방이 함께하는 리드온의 섬세한 스케일링.
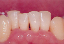
전
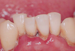
후
전
후


치석과 염증이 제거되며 스켈링 전보다 다소 잇몸이 내려가고 치간이 넓어진 느낌에 놀라실 수도 있습니다. 하지만 이는 치석과 염증이 있던 공간이 비워지고 잇몸이 원래의 잇몸뼈 부근으로 자리를 잡으며 생기는 변화입니다.
치석과 염증 등으로 잇몸과 잇몸뼈의 공간이 4mm가량이나 벌어져있던 치료 전과 비교했을 때 치료 후에는 잇몸과 잇몸뼈의 공간이 2~3mm를 유지할 수 있게 됩니다.
따뜻한 미소로ON, 건강한 치아로 ON, 평생 주치의로 ON
보건복지부 인증 통합치의학과 전문의

증상

상담

구내사진

진료

네! 필요합니다.

치아 겉면의 치석만 확인

육안으로 볼 수 없는 치아 뿌리의 염증 확인
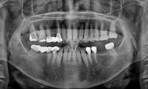
엑스레이는 육안만으로 확인 하기 어려운 치아의 손상도 또는 치아 뿌리 쪽의 염증 등을 확인할 수 있습니다.
전반적인 치조골 높이는 물론 눈에 띄지 않는 치주질환의 진단에 꼭 필요한 과정입니다.
치과치료에 있어서 상실된 치아를 대체하는 방법으로 널리 알려져
시술되고 있는 대표적인 치과 치료의 혁신




방치된 충치의 진행속도는 매우 빠릅니다.

단계가 진행 될 수록 치아 삭제량이 더 많아집니다.

단계가 진행 될 수록 치료 비용이 더 비싸집니다.

단계가 진행 될 수록 치료기간이 더 길어집니다.

임플란트는 신경 조직이 없어 감각을 느낄 수 없어 잇몸병이 악화되고 나서야
증상을 느끼는 경우가 종종발생합니다.