
최첨단 기술로 더 정밀하고 안전하게!
디지털 임플란트는 자연치아처럼 편안하고 더 오래!
손상 걱정 없이 튼튼하며 심미성까지 고려해 자연스러운 아름다움을 제공합니다.
디지털 임플란트는 제 2의 영구치라고도 불립니다.
자연치아가 손상된 경우, 디지털 임플란트를 식립하여 자연치아를 대체하는 시술입니다.
디지털 임플란트는 잇몸에 직접 식립하기 때문에 틀니처럼 발음이나 저작력에 문제가 생기지 않습니다.
또한 개인의 치아와 유사한 색상으로 시술하기 때문에 자연스럽고 심미성이 우수한 장점이 있습니다.
이런 분들께 필요합니다.

외상이나 치주질환으로 인해 자연치아가 손상된 경우 디지털 임플란트로 대체하지 않으면 주변 치아가 빠진 자리를 따라 이동하며 치열이 무너질 수 있습니다. 식사나 일상생활에서 기능적, 심미적으로 불편함이 발생할 수 있으므로 빠르게 디지털 임플란트로 대체하는 것이 중요합니다.

틀니는 비용이 적은 장점이 있으나, 착용 시 잇몸이 눌리면서 통증이 발생하고 잇몸 뼈 흡수 현상이 일어나기 쉽습니다. 틀니는 고정력과 저작력이 약하기 때문에 자연치아와 유사한 기능을 위해 디지털 임플란트나 임플란트 틀니를 추천합니다. 이러한 방법은 더 나은 저작력과 편안함을 제공하여 일상생활에서의 불편함을 최소화합니다.

정상적인 영구치는 28개 입니다. 선천적으로 치아가 나지 않거나 손실된 경우, 빈 자리를 방치하면 주변 치아가 쏠리고 치열이 무너져 음식 씹기가 어려워지며, 발음이 부정확해질 수 있습니다.
이러한 경우 부족한 영구치를 디지털 임플란트로 대체하는 것이 가장 효과적입니다.


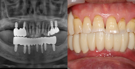
(66세 여 환자)


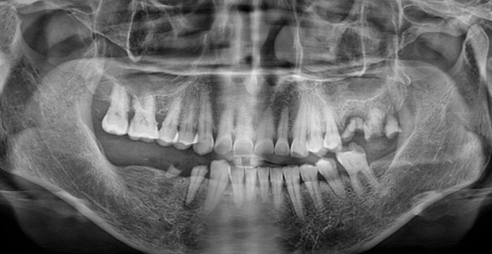
(38세 남 환자)


(61세 남 환자)


(50세 남 환자)


(63세 남 환자)


(59세 여 환자)


(63세 남 환자)


(67세 남 환자)


(45세 남 환자)